𝐂𝐚𝐳𝐮𝐥 𝐬̦𝐢 𝐝𝐢𝐚𝐠𝐧𝐨𝐬𝐭𝐢𝐜𝐮𝐥
Pacienta a fost adusă la Institutul Mamei și Copilului (IMC) cu tuse uscată persistentă, stare de oboseală și dificultăți de respirație (dispnee) – simptome apărute cu doar o săptămână înainte.
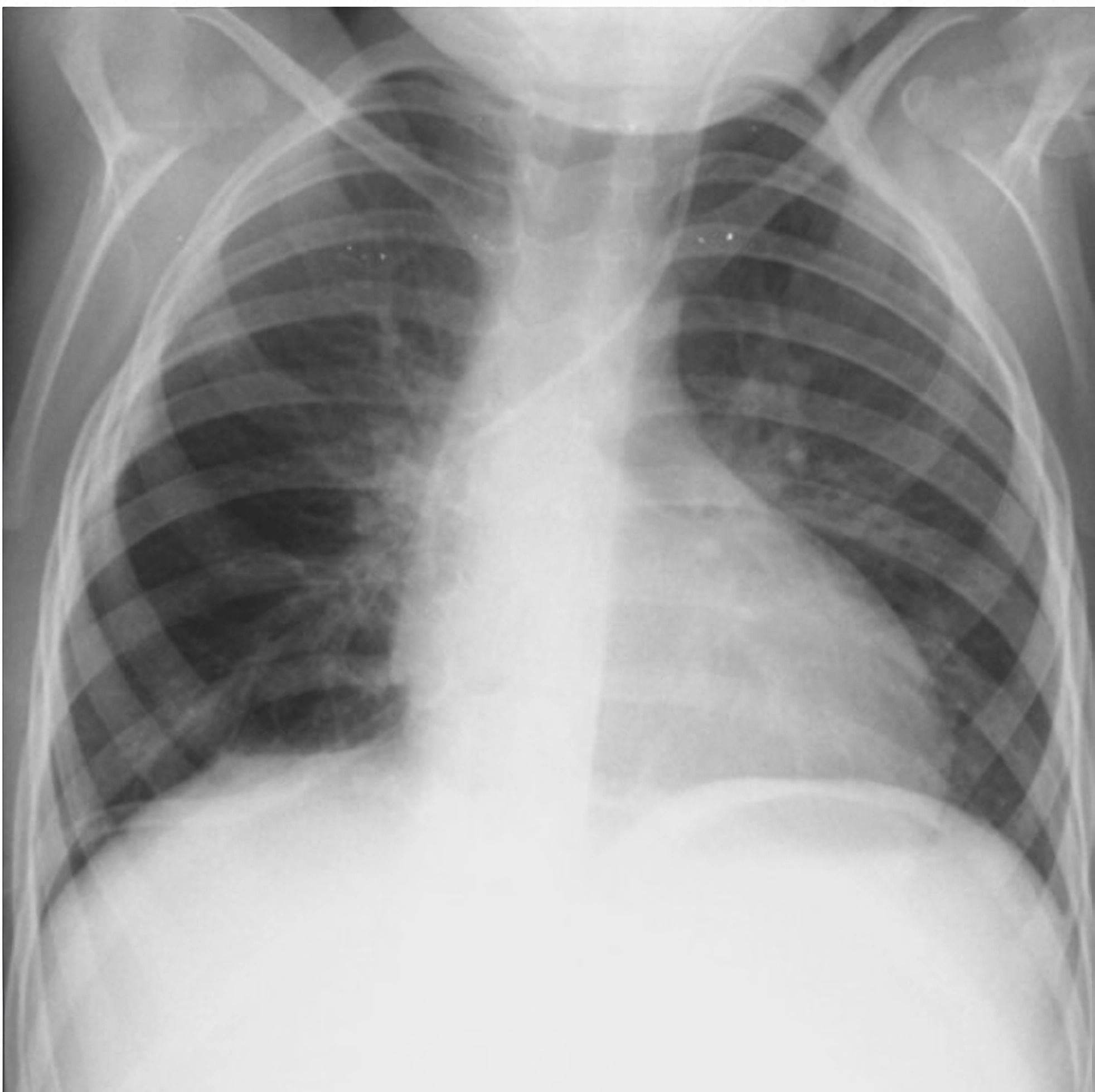
Investigațiile imagistice realizate în cadrul serviciului radiologie și medicină nucleară au scos la iveală o situație extrem de gravă:
- o tumoră masivă (aproximativ 12 x 9 x 10 cm) localizată în hemitoracele drept;
- formațiunea ocupa circa 80% din cavitatea pleurală, comprimând aproape total plămânul drept și exercitând o presiune severă asupra structurilor mediastinale;
- tomografia a sugerat un caracter multicomponențial (posibil teratom), asociat și cu o anomalie vasculară rară (arteră subclavie dreaptă aberantă).
𝐈𝐧𝐭𝐞𝐫𝐯𝐞𝐧𝐭̦𝐢𝐚 𝐬𝐚𝐥𝐯𝐚𝐭𝐨𝐚𝐫𝐞
Din cauza compresiei semnificative exercitate asupra organelor toracice vitale, a fost necesară efectuarea unei intervenții chirurgicale de urgență pe 10 februarie. Prin abord de toracotomie latero-posterioară largă (spațiul intercostal V), chirurgii au realizat cu succes excizia completă a tumorii și a unei porțiuni de timus. Disecția extrem de fină și precisă a permis separarea formațiunii de structurile vitale în condiții de maximă siguranță.
Operația a fost realizată de o echipă medicală multidisciplinară, formată din: Stanislav Babuci, medic chirurg pediatru și șef al Centrului național știintifico-practic de chirurgie pediatrică „Natalia Gheorghiu”; Igor Ambros, medic chirurg pediatru și vicedirector medical; Ana Fedoruc, medic chirurg pediatru; Dumitru Frunze, medic anesteziolog și șef al departamentului ATI.
𝐑𝐞𝐜𝐮𝐩𝐞𝐫𝐚𝐫𝐞𝐚
Evoluția postoperatorie a fost favorabilă. Pacienta a fost extubată în prima zi după intervenție, iar radiografia toracică efectuată în ziua a doua postoperator a confirmat reexpansiunea completă a plămânului drept, fără semne de revărsat pleural. Tubul de dren a fost suprimat după 48 de ore.
Acest caz demonstrează încă o dată importanța diagnosticului precoce, a intervenției prompte și a colaborării eficiente între specialiști pentru salvarea și restabilirea sănătății copiilor.
Felicitări echipei medicale pentru profesionalism și dedicare!

